https://schema.org/EventScheduled

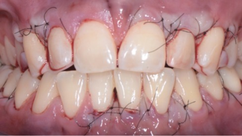
Chirurgie muco-gingivale

vers l'excellence clinique


Du 25 au 26 Juin 2026

Paris


Organisé par

Suivre D'événements
Réservez maintenant

Jour 1 : Les fondamentaux – Prélèvements et sutures
Cours
: Les fondamentaux

• Introduction à la microchirurgie parodontale : objectifs et concepts
• Classifications, diagnostics et pronostics associés
• Analyse des situations cliniques :
       o Gestion de la jonction amélo-cémentaire
       o Choix thérapeutique et arbre décisionnel
• Techniques chirurgicales :
      o Greffe épithélio-conjonctive
      o Tunnelisation classique
      o Tunnelisation modifiée (VISTA)
• Prélèvements :
      o Anatomie des sites donneurs
      o Techniques de prélèvement (tubérositaire, palatin)

Travaux pratiques
: Prélèvements et sutures microchirurgicales
Objectifs pratiques :
• Maîtriser les différentes techniques de suture en chirurgie muco-gingivale
• Réaliser un prélèvement reproductible adapté au palais ou aux tubérosités
• Protéger efficacement les sites donneurs et gérer les complications

Jour 2 : Perfectionnement – Entraînement intensif en microchirurgie
90 % du temps dédié aux travaux pratiques sur mâchoires de porc.
• Étapes opératoires et instrumentation.
• Mise en pratique des techniques chirurgicales :
    o Greffe épithélio-conjonctive
    o Tunnelisation classique
    o Tunnelisation modifiée (VISTA)


Liens et documents



Contact

  • Periortho Institut
  • 88 Rue Michel Ange
    75016 Paris
    France

Commentaires

Pas de commentaires pour le moment

Sélectionnez votre billet

prix TTC

1 500,00 €

Les autres événements de
PeriOrtho Institut

https://schema.org/OfflineEventAttendanceMode
https://schema.org/EventScheduled
France
  • <p><strong>Programme de la formation :</strong></p> <p><strong>Le matin</strong>&nbsp;: LA PARODONTIE AU SERVICE DE L’ORTHODONTIE<br>Impact du traitement orthodontique sur le parodonte<br>TP Brossettes<br>Frenectomie<br>Fissures gingivales<br>Éruption passive altérée<br>Canines incluses</p> <p><strong>L'après - midi </strong>: PRISE EN CHARGE DES CAS COMPLEXES<br>L’orthodontie sur parodonte réduit<br>L’orthodontie &amp; Lésion intra-osseuse<br>Timing ortho / chirurgie parodontale<br>Contention orthodontique<br>TP Mini-Vis<br>TP Pliage</p> <p>Objectifs pédagogiques :</p> <p>✅ Approfondir la compréhension des interactions entre l’orthodontie et la parodontie.<br><br>✅ Maîtriser les techniques avancées de diagnostic et de planification de cas complexes.<br><br>✅ Acquérir des compétences pratiques dans la gestion des problèmes orthodontiques et parodontaux simultanés.<br><br>✅ Explorer les dernières avancées technologiques et les innovations dans le domaine de l’ortho-parodontie.<br><br>✅ Développer des stratégies de traitements personnalisés pour répondre aux besoins spécifiques de chaque patient.</p>
    • Paris
    • France
    Jan
    26

    2026

    Pratique avancée en ortho- parodontie : vers l'excellence...

    Paris
    PeriOrtho Institut
    https://schema.org/OfflineEventAttendanceMode
    https://schema.org/EventScheduled
    France
  • <p><strong>Jour 1 : Les fondamentaux – Prélèvements et sutures</strong><strong><u><br>Cours </u></strong>: Les fondamentaux</p> <p>• Introduction à la microchirurgie parodontale : objectifs et concepts<br>• Classifications, diagnostics et pronostics associés<br>• Analyse des situations cliniques :<br>&nbsp; &nbsp; &nbsp; &nbsp;o Gestion de la jonction amélo-cémentaire <br>&nbsp; &nbsp; &nbsp; &nbsp;o Choix thérapeutique et arbre décisionnel<br>• Techniques chirurgicales : <br>&nbsp; &nbsp; &nbsp;&nbsp;o Greffe épithélio-conjonctive<br>&nbsp; &nbsp; &nbsp;&nbsp;o Tunnelisation classique<br>&nbsp; &nbsp;&nbsp; &nbsp;o Tunnelisation modifiée (VISTA)<br>• Prélèvements :<br>&nbsp; &nbsp; &nbsp;&nbsp;o Anatomie des sites donneurs<br>&nbsp; &nbsp; &nbsp;&nbsp;o Techniques de prélèvement (tubérositaire, palatin)<strong><u><br><br>Travaux pratiques</u></strong> : Prélèvements et sutures microchirurgicales<br>Objectifs pratiques :<br>• Maîtriser les différentes techniques de suture en chirurgie muco-gingivale<br>• Réaliser un prélèvement reproductible adapté au palais ou aux tubérosités<br>• Protéger efficacement les sites donneurs et gérer les complications<strong><br><br></strong></p> <p><strong>Jour 2 : Perfectionnement – Entraînement intensif en microchirurgie</strong><br>90 % du temps dédié aux travaux pratiques sur mâchoires de porc.<br>• Étapes opératoires et instrumentation.<br>• Mise en pratique des techniques chirurgicales :<br>&nbsp; &nbsp;&nbsp;o Greffe épithélio-conjonctive<br>&nbsp; &nbsp;&nbsp;o Tunnelisation classique<br>&nbsp; &nbsp;&nbsp;o Tunnelisation modifiée (VISTA)</p>
    • Paris
    • France
    Mar
    26

    2026

    Chirurgie muco-gingivale

    Paris
    PeriOrtho Institut
    https://schema.org/OfflineEventAttendanceMode
    https://schema.org/EventScheduled
    France
  • <p><strong>Programme de la formation :</strong></p> <p><strong>Le matin</strong>&nbsp;: LA PARODONTIE AU SERVICE DE L’ORTHODONTIE<br>Impact du traitement orthodontique sur le parodonte<br>TP brossettes<br>Frenectomie<br>Fissures gingivales<br>Éruption passive altérée<br>Canines incluses</p> <p><strong>L'après - midi</strong> : PRISE EN CHARGE DES CAS COMPLEXES<br>L’orthodontie sur parodonte réduit<br>L’orthodontie &amp; Lésion intra-osseuse<br>Timing ortho / chirurgie parodontale<br>Contention orthodontique<br>TP Mini-Vis<br>TP Pliage</p> <p>Objectifs pédagogiques :</p> <p>✅ Approfondir la compréhension des interactions entre l’orthodontie et la parodontie.<br><br>✅ Maîtriser les techniques avancées de diagnostic et de planification de cas complexes.<br><br>✅ Acquérir des compétences pratiques dans la gestion des problèmes orthodontiques et parodontaux simultanés.<br><br>✅ Explorer les dernières avancées technologiques et les innovations dans le domaine de l’ortho-parodontie.<br><br>✅ Développer des stratégies de traitements personnalisés pour répondre aux besoins spécifiques de chaque patient.</p>
    • Paris
    • France
    Juin
    04

    2026

    Pratique avancée en ortho- parodontie : vers l'excellence...

    Paris
    PeriOrtho Institut